見逃してはいけない、放置してはいけない高コレステロール血症:家族性高コレステロール血症(FH)
「複十字病院」の健康管理センターに勤務(2021年4月)してから早2年、職場の同僚にも恵まれて、楽しく、有意義に日々を過ごしています。コロナ禍も漸く終息の気配となり、また丁度桜咲く華やかな時節となりましたが、今年はどっかりとスギ花粉も襲来して仕舞いました。これもコロナと同じく上手に共生して行くしかないと感じています。
基本的に健康な方々を対象とした業務と思っていましたが、それなりに齢を重ねた方々は自覚症状が有るか無いかの違いだけであって、何もなく健康というのは難しいものです。現状を少しでも維持・向上できるように、また、新たな病気は早期に発見できるようお手伝いできればと考えています。そうした観点から、家族性高コレステロール血症は家族の誰か1人を発見できればその家系の方々に起こり得る冠動脈病(心筋梗塞、狭心症など)の予防効果を飛躍的に高めることができます。やや専門的な部分もありますが、ゆっくりお読みいただければお役に立つと考えます。(ちなみに、この2年間では2家系の方々が見つかっています)
複十字病院健康管理センター 川村光信
- 病気の概要
- どのような場合に疑うか
- 診断のポイント
- 治療はどうするか
- 遺伝子検査の手続き
- 指定難病はFHホモ接合体のみ
はじめに
脂質異常症のうち、特に高LDLコレステロール(いわゆる、悪玉コレステロール)血症は動脈硬化による病気との関連が強く、血液中のLDLコレステロールの上昇に伴い、特に冠動脈(心臓の血管)病(心筋梗塞や狭心症など)の相対的リスクは上昇します。
ただ、日本人の一般人口における冠動脈病の発生率は、約3-4人/1,000人/年であり、米国人の約30-40人/1,000人/年に比べればさほど高くはありません。LDLコレステロールの単独高値であれば、薬物の開始は慎重になされるべきです。
もちろん、他の生活習慣病(糖尿病・高血圧など)の合併や喫煙習慣があれば、冠動脈病の発生率は高くなるので、それに応じた治療をしなくてはなりません。
一方、家族性高コレステロール血症(FH)では、冠動脈病の発生率が非常に高く、診断早期からの強力な治療が必要です。
今回はこの病気についてお話します。
1.病気の概要
FHは、生まれつき血液中のLDLコレステロールが異常に上昇してしまう病気です。
その結果、若年期から動脈硬化が進行し、血管が狭くなったり、詰まったりしてしまいます。動脈硬化は特に冠動脈に起こりやすく、放置すると若いうちに心筋梗塞や狭心症を発病してしまいます。
LDLコレステロール中のコレステロールそのものは生体にとって、細胞膜やホルモンの原料となる極めて重要な成分ですが、構造が複雑なため、余剰分を体の中では処理できません。そのため、通常、LDLコレステロールは肝臓の細胞表面にあるLDL受容体と呼ばれる蛋白によって肝細胞の中に取り込まれ、アミノ酸やコレステロールに分解されますが、そのうちのコレステロールは胆汁から腸管に排泄されます。
FHでは、LDL受容体の遺伝子やこれを働かせる遺伝子に異常があり、血液中のLDLコレステロールが肝細胞に取り込まれにくくなり、血液の中にたまってしまうのです。
私たちの遺伝子は、父親由来と母親由来の2つが一組となって出来ています。LDL受容体やその働きに関わる遺伝子で、父母由来の両方の遺伝子に異常がある場合をホモ接合体とよび、いずれか一方のみに異常が認められる場合をヘテロ接合体とよびます。
FHは、常染色体顕性(優性)遺伝(この遺伝子があれば必ず発病する)の病気であり、ヘテロ接合体は我が国の人口300人当たり1人、よって40万人以上(ちなみに日本人の医師数は2020年末でおよそ34万人弱)存在すると推定されるものの、その診断率は低く、かなり見逃されているので要注意です。
ホモ接合体の頻度は30万人に1人程度ですが、重症化するので、難病に指定されています。
大部分の患者さんでは、若い頃はLDLコレステロールが高いだけで、特に症状はありません。
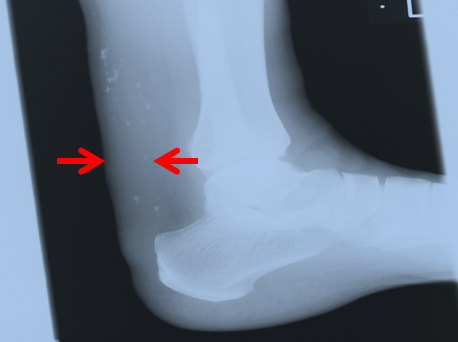
一部の患者さんでは、多くはありませんが、手の甲・膝(ひざ)・肘(ひじ)・瞼(まぶた)などにコレステロールが沈着して黄色っぽい隆起(皮膚黄色種)がみられます(図1:上段左右)。また、指摘されないと気付きにくいものの、頻度の高いものにアキレス腱へのコレステロール沈着によって生じるアキレス腱肥厚があります(図1:下段左右)。
FHの患者さんでは、血液中の余剰コレステロールは血管壁にたまり、前述したように若年期から動脈硬化(特に、冠動脈に起こりやすい)が進んでしまいます。ヘテロ接合体であっても、早い人では、男性20歳代、女性30歳代という若い年齢で心筋梗塞などを発病します。ホモ接合体では、幼児期に心筋梗塞を発症することもあります。
このような体質が遺伝するので、親・兄弟・おじ(伯/叔父)・おば(伯/叔母)・祖父母・子供など、血縁関係のある方に同じようにコレステロールが高く、心筋梗塞・狭心症などの心臓病を発症する人が多くみられます。
2.どのような場合に疑うか
- 未治療時のLDLコレステロールが180mg/dL以上
- 皮膚や腱に黄色腫がある(アキレス腱が太い・厚い:アキレス腱肥厚)
- 家族(両親・兄弟・祖父母・子供・おじ・おば)で以下に当てはまる人がいる
・未治療でLDLコレステロールが180mg/dL以上であったり、高LDLコレステロール血症の治療を受けている
・若年で冠動脈病(狭心症・心筋梗塞など)と診断されている(男性は55歳以下、女性は65歳以下)
もしかしたら?と気になる方は、ぜひ医師に相談してください。
3.診断のポイント
診断には、LDLコレステロールの測定をはじめ、家系内調査、アキレス腱の厚さの評価が役立ちます。この
アキレス腱肥厚の検出は簡便かつ有用です。慣れた医師なら、触診(指でアキレス腱をつまむ)だけである程度予測できますし、検査も軟線X線撮影(男性8.0mm以上、女性7.5mm以上)、あるいは超音波(男性6.0mm以上、女性5.5mm)程度で済みます(図1:下段右)。
遺伝学的検査についても2022年度から医療保険の適応となりました。
図1.FHにおける黄色腫とアキレス腱肥厚[50歳 男性、軟線X線検査でアキレス腱(矢印間)は21mm]
また、合併症の発病を避けるために早期に動脈硬化の進行程度を把握することも重要です。
頸動脈エコー検査では、血管壁の厚さを測ることにより動脈硬化の重症度の判定や冠動脈病の有無を予測できます。
心臓の血管が狭くなっている可能性が高い場合は、運動負荷心電図検査や、運動負荷心筋シンチグラフィー、心臓の造影CT検査、冠動脈造影検査などを行います。
4.治療はどうするか
FHと診断されたら、LDLコレステロールを十分に低下させるための治療が必要です。
まず、食事療法をはじめとする、生活習慣の改善を要します。コレステロールや動物性脂肪の少ない食事摂取や定期的な運動を心がけ、喫煙習慣のある方では禁煙が必須です。
しかし、FHの方では、元々LDLコレステロールが下がりにくい上に、冠動脈病予防のために目標値もかなり低く設定されていますので、生活習慣の改善だけで目標値まで到達するのが難しいのも事実です。設定目標値まで到達できない場合は、薬物療法(主にスタチン系薬)が必要です。通常量のスタチン系薬で目標値まで低下し難い場合は、副作用に留意しながら最大量に増やしたり、他系統の薬を組み合わせることで、多くの患者さんでは十分な効果が得られます。
しかし、特に低下し難い方は、エボロクマブとよばれる強力な皮下注射製剤の使用(1か月に1-2回の自己注射)も可能です。
さらに、ヘテロ接合体でもより重症な方やホモ接合体の方などに対してはLDLを吸着除去する治療「LDLアフェレシス(注)」がなされます。
若い時は自覚症状が無いために治療を中断しがちですが、必ず定期的に血液検査をして、LDLコレステロール値が適切な範囲にあるか、薬剤の副作用がないかなどを継続的に観察して行くことがとても大切です。
注: LDLアフェレシス:血液透析のように血液を体外循環させる機器を使って血液中のLDLを吸着除去する治療法
5.遺伝子検査の手続き
2022年度から、FHの遺伝子診断(遺伝学的検査)が医療保険で検査可能になりました。(保険点数は5,000点:3割負担の方なら15,000円の自己負担)
通常のような血液検査で行うことが多いものの、検査が実施できる施設は限られています(日本動脈硬化学会HPで「家族性高コレステロール血症診療可能施設リスト」が公開中)。
解析には通常1か月程度の時間を要します。
6.指定難病はFHホモ接合体のみ
ホモ接合体性FHは指定難病に指定されていますが、一般的なFHヘテロ接合体性は指定難病ではありません。
厚生労働科学研究費補助金難治性疾患政策研究事業 原発性脂質異常症調査研究班HPをご参照下さい。
詳しくは担当医にご確認お願いします。



